Emergencies

079 185 5431

View our business hours

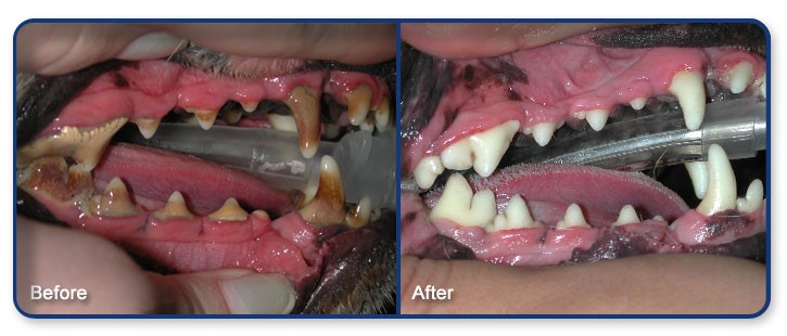
Giving Your pets something to smile about!

Early prevention of the most common oral disease and complications is of the utmost importance in keeping your pets' teeth in good health. 

Studies have shown that without proper dental care up to 80% of dogs and 70% of cats may show signs of periodontal (oral) disease by the age of three. With your help, your pets can have healthy teeth and gums throughout their lives. 

Periodontal and gum disease is caused by a build-up of plaque and tartar on the surface of your pets' teeth. The plaque formation develops from bacteria and food particles that get lodged between the teeth and gums. This may also lead to inflammation of the gums and surrounding root structures; causing little “Fluffy” to have smelly breath when she gives kisses!

Regular home check-ups on your pet are important in detecting the first signs of periodontal disease and complications. The signs to look out for may include:
•    Bad breath
•    Discoloration
•    Bleeding from the mouth or pain when eating
•    Loss of appetite and weight loss
But why is it important to ensure that your pets’ teeth are kept in good shape?

A pet with healthy teeth will have better breath! Dental disease may also lead to complications with other organs in your pets’ body, leading to a shortened life span. Most animals are very good at hiding pain, often making it difficult for owners to know when their pet has a problem until the situation is at a very advanced stage.

Your geriatric pets’ teeth will require more intense dental care and treatment. Many older pets’ teeth will have worn down to a point where it causes severe daily discomfort, leading to a loss of appetite and weight loss. 

Periodontal disease is one of the most common complaints seen from clients. However it is also one of the most treatable! A dental procedure from your vet may be a simple and effective way in ensuring a long and healthy life for little “Fluffy”.



 

www.stmarksvet.com

Taking your pet for regular dental check-ups with your vet ensures that problems are detected early and can be dealt with in the relevant manner. The correct diet will also play a huge role in ensuring that your pets’ teeth and gums remain healthy. Your veterinarian will be able to do a thorough examination of your pets’ dental health to determine what the best approach to treatment and care will be. Brushing helps to reduce plaque build-up but it will not remove tartar. This tartar build up will need to be removed by your veterinarian with a professional scaling and polishing, usually accomplished under anaesthesia. Your vet will be able to advise you on the best treatment and dental care

Good dental health starts with a dental routine at home. A high quality dry kibble will ensure that plaque build up is reduced. There are also many dental products available to reduce build up, freshen breath and postpone the need for veterinary dental care.  Brushing your pets’ teeth is a very effective method in reduce plaque formation.

Human toothpaste should never be used on your pet!!

Human toothpaste contains fluoride and xylitol which are extremely poisonous for pets. Rather consider using a toothpaste specifically made for pets; available from your local vet.


  
tropiclean.com
www.pethealthnetwork.com

Lets get those tummies SUMMER ready!

Cold weather and short days make it is easy for both us and our dogs to become a bit lazy in wintertime. Nevertheless, it's important to stay active to maintain a healthy body condition and optimal health, even when the outdoor temperature drops.

Now with the warmer weather rolling in, its the ideal time to get fit and active with your pet!

1. Nice Walk Outdoors

Most dogs will enjoy a stroll on a brisk day; however, keep in mind that sidewalks treated with salt or chemicals to prevent ice can be harmful to your dog. Use booties to protect his paws or rinse them off once you come inside to prevent irritation and keep him from ingesting any reside that might be left. Also, if your dog has short hair, consider having him wear a coat.

2. Make Mealtime Stimulating

There are many ways to stimulate his mind and body without venturing into the winter weather. Offer his meals in a feeding toy rather than just a food bowl. Studies have shown that dogs enjoy their dog food more when they have to work for it. This will also slow down how fast he eats which can help prevent serious gastrointestinal conditions.

3. Make Treat Time Fun, Too!

There are two simple ways to make giving your dog treats more interesting — use a treat-dispensing toy or play a game of hide a seek using the dog treats. Start by keeping your dog in one room while you hide treats in another. Then let him loose to find all the hidden goodies. Make the dog treats fairly obvious to find in the beginning so he understands the game, and then work up to more elaborate hiding places.

www.hillspet.com

Are you ready to get a DOG??


Do you really want a dog?
Do you want to wake up early on a cozy Sunday morning, and take him out in the rain?

After all, he needs his exercise. Are you ready to spend as much time as you can with him? Are you prepared for the lifestyle impact, the financial impact, and grooming considerations?

Hmmmm… Are you up for cleaning up various messes?

Getting up in the middle of the night with a sick dog?
Whether it's a puppy, adult, or senior dog you're considering adopting, the newness soon wears off, and then you're left with a loving companion for, hopefully, many years to come.

The overwhelming majority of dogs adopted from shelters aren't puppies. In fact, most are 2–3 years old, and up. 

Anywhere you go, you'll find lots of shelter dogs in need of a good home. There are other benefits to adopting from a shelter. With a shelter adoption, you're saving more than one life—you're making room for another dog, or allowing another dog to be kept at a shelter for a longer period of time, giving them a better chance of being adopted, too.

Another rewarding aspect of shelter adoption is the special bond many owners develop with their rescued dog. Opening up your heart and home to an "orphan" usually results in an extremely strong relationship. That can mean a loyal, affectionate, and attentive dog for life.

Why do you want a dog? 
In deciding what type of dog you should get, consider what you're looking for in your future pet. Is he going to be a fun playmate for the children, or is his main job going to be to accompany an older person on quiet walks? Do you want him to go jogging with you, or is he going to be guarding the house? Loving him, and living with him should be rewarding for you and your newly adopted dog.

What kind of dog do you want? 
So what kind of dog do you want? You can definitely still consider particular breeds of dogs when you're thinking of adopting from a shelter. Many shelter dogs are not purebred, but mutts. But the shelter workers can take very educated guesses at their lineage.
Let's say you've always wanted a Lab. It's a good bet you'll find an adorable Lab-Rottie cross who'll display the physical and temperamental characteristics of both breeds. Or you might be looking for a "working" dog, but not in the market for a "hound" dog. The biggest trick is to be filled to the brim with knowledge before you hit the shelters—and before you fall in love with a gorgeous sweetie who just isn't right for you.

Time of your life. 
For a dog waiting for his "forever" home, it's always a good time to be adopted. But don't let him down by bringing him home, and then deciding that it's simply not the right time for you. Dogs take lots of care and attention—and that means time—especially when they first come home.
Is this the right time in your life to take on this huge commitment? Does your lifestyle allow for the flexibility it takes to acclimate your new dog into your life? Are your current commitments overwhelming, or very manageable?

An ongoing financial commitment. 
Are you financially in a place where you can afford the care and upkeep of a dog? Because it can really add up. Besides the cost of quality food, treats, and snacks, there are toys, doggie beds, and blankets; vet, training, and grooming costs; medical emergencies; and more.

It's all about activity needs. 
As long as you take care of his exercise needs, the size of your home really doesn't matter—whether you're a city, suburb, or country-dweller. Of course, an off-leash park in a city is always great no matter where you reside. Areas designated for off-leash dogs give your dog the chance to romp around as much as he likes, play with other dogs, and fetch toys like Frisbee and Kong products, and tennis balls. Of course, these parks are only for trained, socialized, friendly dogs.

Additionally, dogs don't need a yard to thrive. In fact, they may soon get bored hanging out in the backyard. Yards smell the same every day and there aren't any new and stimulating experiences. It's much more fun and interesting to dogs to go out for walks (especially if you change your routes), or to dog parks, with you. This way they'll meet other people and dogs, and be excited by new environments.

Male or female—does it matter?
Consider whether you want a male or female dog. Males tend to be more dominant and self-confident, whereas females may be more affectionate and home-loving. But, of course, these are very broad generalizations; every dog is different.

www.pedigree.com

About Us

Home to all animals and trusted friend of their families, for more than 20 years, Roodekruin Animal Clinic in Wilro Park, Roodepoort has become part of the lanscape. We treasure our relationships with our clients and our patients and regard you and your pet as part of our family.

Read more

Keep in Touch


Latest News

Welcome to Roodekruin’s new website!

12 June 2015

We would like to welcome all our clients to our new website! We are very...

The importance of microchipping your pet

12 June 2015

Losing a pet can be traumatic for both family members and your beloved pet. Most...

Are you ready to get a DOG??

11 November 2015

Do you really want a dog? Do you want to wake up early on a...

Lets get those tummies SUMMER ready!

11 November 2015

Cold weather and short days make it is easy for both us and our dogs...

Giving Your pets something to smile about!

11 November 2015

Early prevention of the most common oral disease and complications is of the utmost importance...

«
»

Top Services

  • Dental health
  • Vaccinations
  • Intensive care
  • Radiology
  • Pathology

New Family Members

Contact Info

  roodekruin (@) gmail.com
  011 764 4472
  011 764 4472
  124 Azalea Drive, Wilro Park Roodepoort
 
Emergency Number: 079 185 5431

Our Map